1. Mallory三色染色法
蓝色:胶原和网状纤维
淡蓝色:软骨、粘液、淀粉样变物质
红色:神经胶原纤维、肌纤维、酸性颗粒
橘红色:髓鞘、红细胞

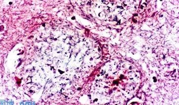
Mallory染色,显示胶原纤维,A组排列规则
2. Masson三色染色法
绿色:胶原纤维
红色:肌纤维
橘红色:红细胞
Mssson三色法

Masson三色染色胃癌组织中血管平滑肌
3. 显示胶原、网状和弹性纤维的三联染色法
红色:胶原纤维
黑色:网状纤维
绿色:弹性纤维
淡黄色:肌肉、红细胞

Weigert间苯二酚法
1 Van Gieson(V.G)苦味酸-酸性品红法
鲜红色:胶原纤维
黄色:肌纤维、细胞质、红细胞
蓝褐色:胞核
胶原纤维,Van Gieson(V.G.)苦味酸-酸性品红法

心肌梗塞 myocardial infarction:心肌梗塞后2个月,van Gieson 染色, 坏死心肌被染成红色的纤维组织所代替,黄色区域为残留的心肌纤维。
2 天狼星红(Sirius red)苦味酸染色法(参照上图)
红色:胶原纤维
绿色:细胞核
黄色:其他
天狼星红苦味酸染色法:(偏光显微镜)
Ⅰ型:强双折光性,呈黄色或红色纤维
Ⅱ型:弱双折光,呈多种色彩疏网状分布
Ⅲ型:弱双折光,呈绿色的细纤维
Ⅳ型:弱双折光的基膜,呈淡黄色
1 Gordon-Sweets银氨染色法 (梅花开枝图,金色阳光伴树枝)
黑色:网状纤维
红色:胞核(核固红复染)
黄棕色:胶原纤维
淡红色:细胞质(红液复染)
图表 F 3.Gordon-Sweets氢氧化银氨液浸染法
2 Gomori氏银氨液配制法

Gomori氏银氨液配制法
Gomori醛复红染色法
甲醛生理盐水液固定的染色效果最佳
GOMORI醛复红染色法
蓝绿色:弹性纤维
红色:胶原纤维
黄色:背景

Weigert间苯二酚法
横纹肌组织染色
Mallory磷钨酸苏木精染色法(PTAH)
蓝色:胞核、纤维、肌肉、神经胶质纤维、纤维蛋白、横纹肌
黄色或枚红色:胶原纤维、网状纤维软骨基质、骨
微紫色:粗弹性纤维(有时)
紫蓝色或棕黄色:缺血缺氧早期病变的心肌

磷钨酸苏木素法

磷钨酸苏木素染色液
早期心肌病变组织染色
1.Nagar-Olsen染色法(1974年)
红色:缺氧心肌、红细胞
黄色或黄棕色:正常心肌
蓝色:细胞核
各组小鼠心肌组织Nagar-Olsen染色(光学显微镜, ×200)
2.Poley显示缺氧心肌染色法(1964年)
红色:缺氧心肌
紫色:胞核
绿色:其他组织
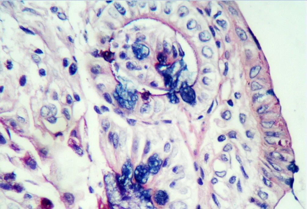
过碘酸-Schiff(PAS)染色法
红色:糖原及其他PAS反应阳性物质
蓝色:细胞核


胃贲门腺体胞浆呈PAS阳性
1.Mowry阿尔辛蓝过碘酸雪夫(ABPAS)染色法(1956)
红色:中性黏液物质
蓝色:酸性黏液物质
紫红色:混合性黏液物质
AB-PAS染色结肠粘膜
胃粘膜组织 AB-PAS染色 40×
2.爱先蓝(PH2.5)法
蓝色:唾液酸、弱硫酸化黏液物质、一般粘液
红色:胞核
不着色:强硫酸化黏液物质

爱先蓝(PH2.5)染色液

爱先蓝法

爱先蓝法—
3、爱先蓝(PH1.0)法
蓝色:含硫酸黏液物质
不着色:非硫酸化酸性黏液物质
红色:复染后的胞核
1.Masson-Fontana黑色素银浸染色法
黑色:黑色素及嗜银细胞颗粒
红色:胶原纤维
浅黄色:背景

Melanin pigment incells of9.1. malignant melanoma, Fontana-Masson stain.
2.Lillie亚铁染色法
暗绿色:黑色素
浅绿或不着色:背景
黄色:肌纤维和背景
Perls blue(普鲁士蓝)反应显示三价铁
蓝色:含铁血黄素
浅红色:其他组织

普鲁士蓝染色 肝脏普鲁士蓝染色呈蓝色的含铁血黄素颗粒大量沉着在肝实质细胞和库普弗细胞内。
三氯醋酸染色法
绿色:胆色素
红色和黄色:其他
Lendrum等MSB染色法
1.本法的MSB指马休黄猩红蓝法
红色:纤维蛋白
紫色:陈旧性纤维蛋白
蓝色:细胞核
黄色:红细胞

马休黄-酸性品红-苯胺蓝染色液
2.Gram甲紫染色法
蓝黑色:纤维蛋白
红色:背景
秀威推出病理整体解决方案
助力病理科建设
滑动查看更多
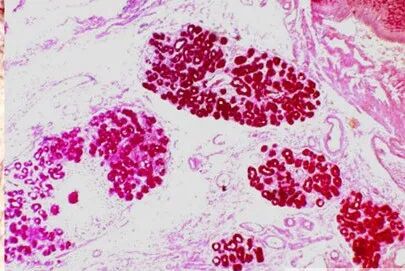
1.刚果红染色法
红色:淀粉样物质
蓝色:细胞核

淀粉染色 甲状腺髓样癌淀粉样物质
2.Jurgens甲紫染色法
红色或紫红色:淀粉样物质
蓝色:细胞核
1.Grocott六胺银染色法
真菌均被着色
黑褐色:菌丝和孢子
红色:细胞核
淡绿色:背景

六胺银染色液
2.高碘酸复红染色法(1994年)
紫红色:真菌
浅黄色:红细胞
1.Gram碱性复红结晶紫染色法
蓝色:革兰阳性菌
红色:革兰阴性菌、细胞核
2.Ziehl-Neelsen抗酸杆菌染色法
红色:抗酸杆菌 灰蓝色:背景

病理抗酸染色液

病理抗酸染色液
3.胃幽门螺杆菌
Warthin-Starry胃幽门螺杆菌染色法
棕黑色或黑色:胃幽门螺杆菌
淡黄色:背景

1. 硝酸银染色法

2.Giemsa染色法
蓝—淡紫色:螺旋体、细菌
蓝色:细胞质
橘黄色:红细胞


3.Ryu碳酸钠碱性复红法
红色:螺旋体
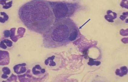
Macchiavello包涵体染色法


巨细胞病毒核内出现周围绕有一轮“晕”的大型嗜酸性包涵体。

细胞中包涵体
1.Shikata地衣红染色法(1974年)
棕色:HBsAg阳性

用酸化的地衣红酒精溶液能很好地显示肝细胞内的乙型肝炎表面抗原
2.醛复红改良染色法(1988年)
紫色:乙型肝炎表面抗原阳性物质
红色:结缔组织
黄色:红细胞及基质
3.维多利亚蓝染色法
蓝绿色:乙型肝炎表面抗原物质
红色:细胞核
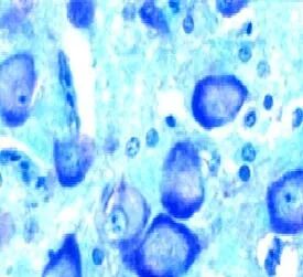
神经细胞尼氏小体染色方法
1.焦油紫(cresylviolet)染色法
紫色:尼氏小体
淡紫色:胶质细胞
无色:背景

2.Einarson棓酸青蓝染色法
黑蓝—紫色:尼氏小体
蓝色:核
浅灰色:背景
3.甲苯胺蓝染色方法
深蓝色:尼氏小体
淡蓝色:细胞核
无色:背景

神经纤维的染色方法
1.Holmes神经纤维染色方法
黑色:神经纤维
灰紫色:背景
2.Bielschowsky神经纤维染色方法
黑色:神经纤维
紫色:背景

神经元纤维缠结 Bielschowsky浸银染色
3.Von Braunmubl神经纤维、扣结、老年斑染色方法
黑色:神经纤维、扣结、老年斑
浅灰色:背景

4.Eager退变神经纤维的染色方法
黑色:退变神经纤维 浅棕色:背景

神经髓鞘的染色方法
1.Weigert—Pal髓鞘染色方法
黑蓝色:髓鞘
淡灰色:背景

2.Weil髓鞘染色方法
蓝黑色:髓鞘
淡灰色:背景
3.Kultshitzky髓鞘染色方法(Heidenhains改良法)
蓝黑色:髓鞘
淡黄色:背景

4.Luxol fast blue髓鞘染色方法
蓝色:髓鞘
紫色:核仁、尼氏小体
5.变色酸2R—亮绿髓鞘染色方法
深红色:神经髓鞘
绿色:轴索、间质
不着色:脱髓鞘纤维
6.Marchi退变髓鞘染色方法
黑色:退变髓鞘
浅棕色:背景
神经胶质细胞染色方法
1.Cajal星形细胞染色方法(冷冻切片法)
紫黑色:原浆性及纤维性星形细胞
2.Naoumenko和Feigin改良的Cajal染色方法(石蜡切片法)
黑紫色:星形细胞
粉红色:背景
3.Weil及Davenport小胶质细胞及少突胶质细胞染色方法
黑色:神经胶质细胞、少突胶质细胞
黄棕色:背景
4.Naou menko及Feigin小胶质细胞石蜡切片染色方法
黑色:小胶质细胞
灰色:背景
亲银反应
1.Lillie—Masson二胺银反映法
黑色:亲银颗粒细胞
红色:细胞核
灰黄色:背景

原理方法:Lillie-Masson氏二胺银反应法。嗜银细胞染色:见小肠黏膜嗜银细胞呈黑色(VG复染)。100X
2.Comori—Burtner六胺银法
黑色:亲银细胞
浅红色:背景
嗜银反应
1.De Grandi改良硝酸银反应法(1970年)
棕黑色:嗜银细胞颗粒
红色:细胞核

2.碱性重氮反应法
橘红色至红色:嗜银细胞颗粒
蓝色:细胞核
黄色:胞质
1.Giemsa改良染色法
红色至紫红色:嗜铬细胞
蓝色:皮质细胞
粉红色:红细胞


2.Wiesel染色法
黄绿色:嗜铬细胞质
红色:细胞核
蓝色:其他
1.甲苯胺蓝改良染色法
紫红色:肥大细胞颗粒
蓝色:细胞核

甲苯胺蓝显示肥大细胞


肥大细胞甲苯胺蓝染液
2.醛复红法
深紫色:肥大细胞颗粒
橘黄色:红细胞
黄色:其他组织
1.酸水解—无色品红法
紫红色:DNA
绿色:细胞质、其他成分
2.甲基绿—派洛宁法
红紫色:细胞质和核仁内的核糖核酸(RNA)
绿色或绿蓝色:细胞核染色质内的脱氧核糖核酸(DNA)

DNA-Feulgen染色
1. 苏丹Ⅲ—Mayer苏木精染色(冷冻切片)
橘红色:中性脂肪
蓝色:细胞核


2. 油红O染色法

油红O染色液 (2)

油红O染色液 (1)