
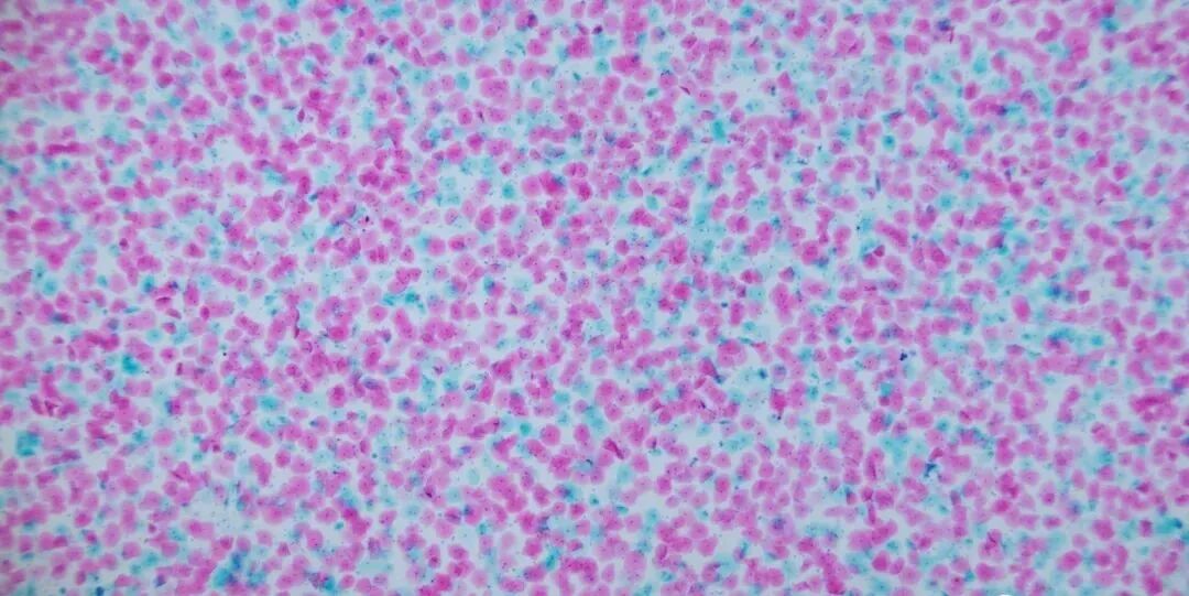
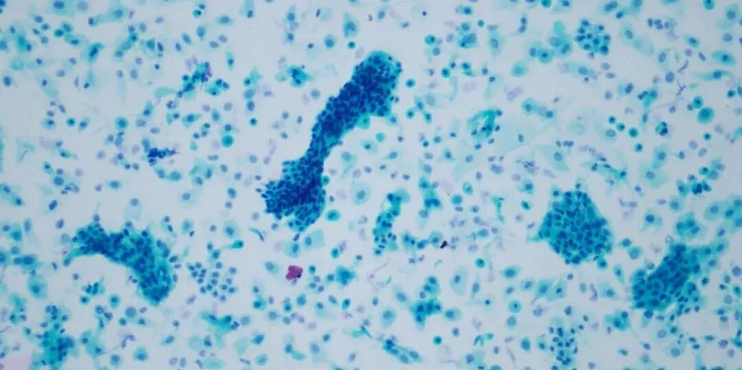
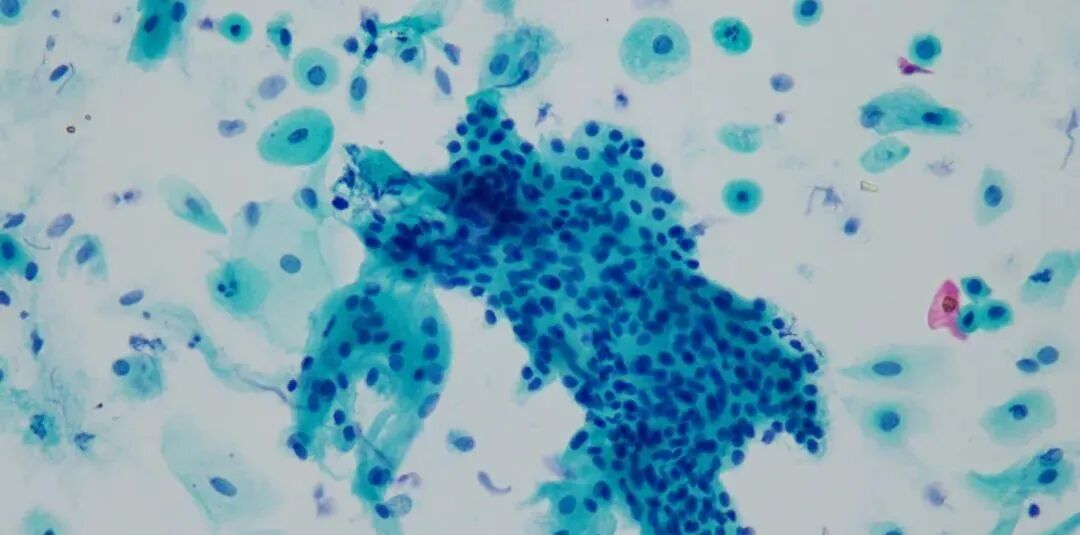
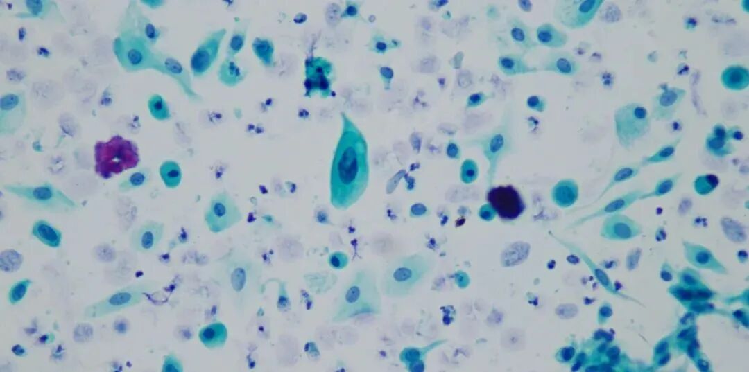
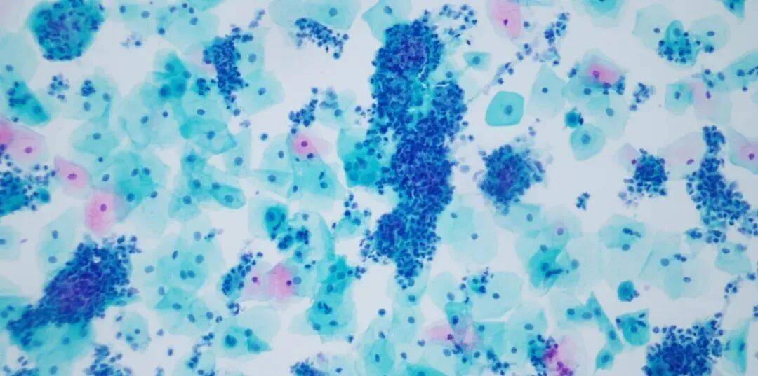
我们先来一例宫颈液基大家赏析:


随着病理科承担了越来越多的妇科体检宫颈液基,液基片子的制片质量问题也是因制片量的增加而增加,我们总结了一些液基制片的问题并提出了相应的解决思路供大家参考。
第一组

问题:细胞量少。问题浅显,解决困难不少。
解决方法:观察临床送来的细胞保存液,确实清亮细胞量少,将所有保存液先离心,倒掉上清液,留浓缩的底层,然后再行液基制片后续步骤,看看效果:
再次制片:

细胞量虽然少,但是基本满足诊断要求。(提个问题,如何判断细胞的量达到了制片的标准?)
再来看另外一例:

查看标本瓶液体清亮,同样的方法,再次离心浓缩后制片:

细胞量仍然不理想。推测临床收集标本量过少。
细胞量多少属于达标,多少属于理想,下图供大家参考:

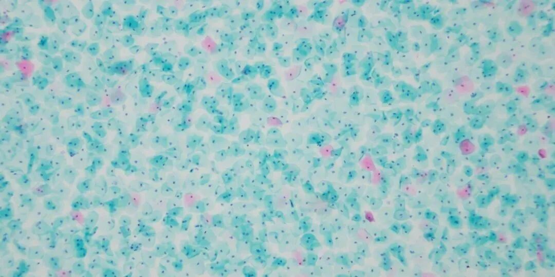
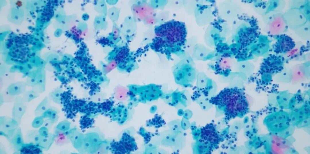
第二组
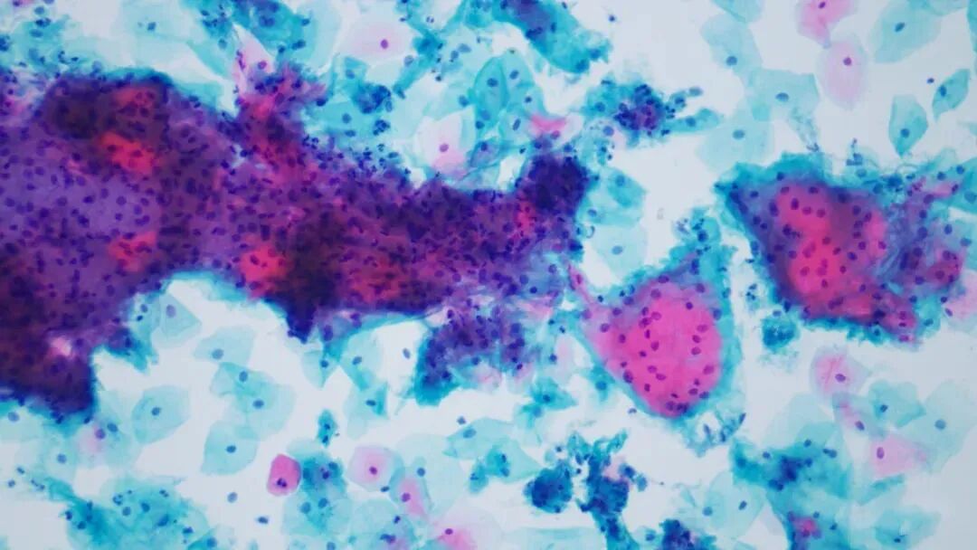
这一组制片问题较复杂,解决费了很大劲。



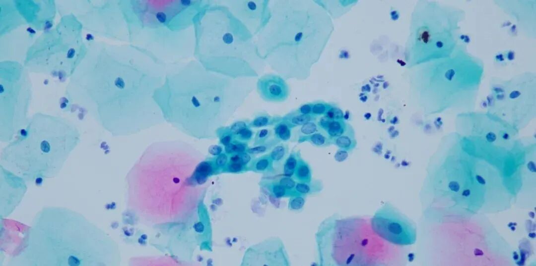
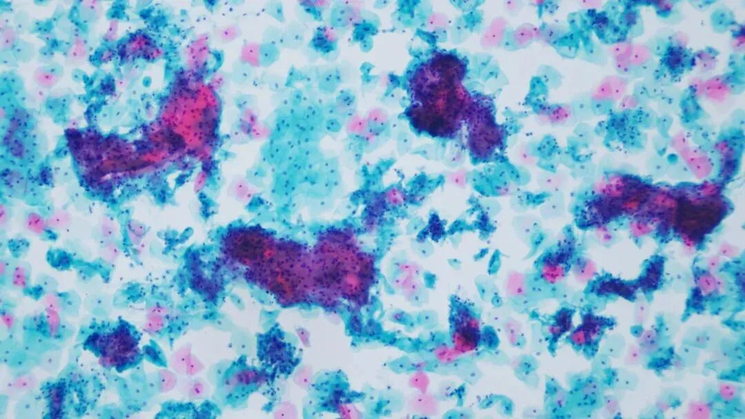
中表层成团,部分细胞也皱缩没有展开,这些都不利于诊断。

细胞成团趋势过多,红蓝绿对比较差。


中表层成团没有散开,而腺上皮团过于厚重以至于看不清核。散开的细胞也容易皱缩影响诊断判读。
成团对病理医师影响还是比较大的,右侧中表层细胞还好,左侧这个腺上皮细胞团就根本看不清核。同时这几张片子还有蓝绿染色过深,红绿蓝对比不鲜明。




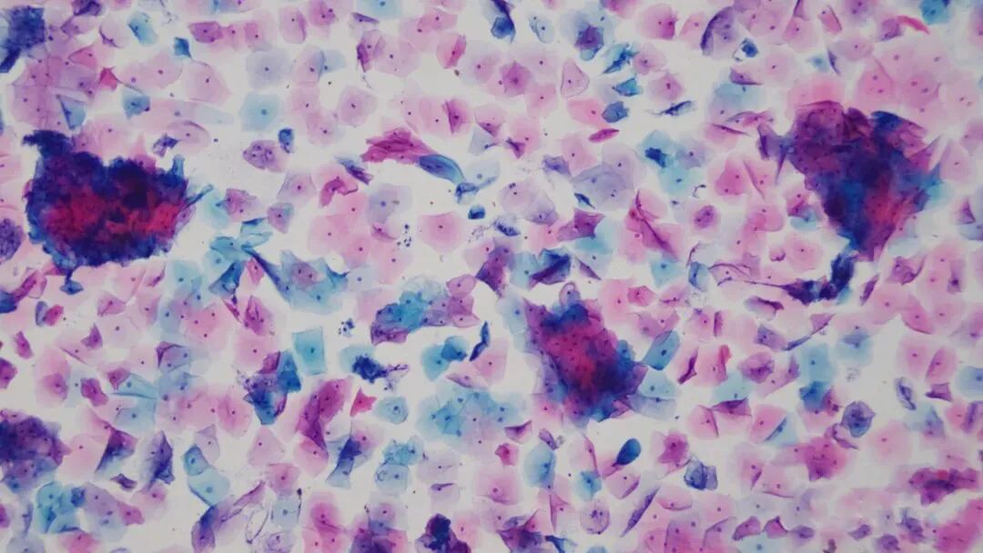
下面看看调整后不同激素水平液基片:
低倍整张片子均匀平铺,蓝绿红对比鲜亮。
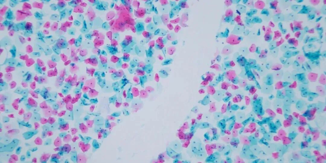
高倍

中低倍






这个时候再观察成团细胞基本上毫不费力,而且微螺旋调节焦距时腺上皮各个细胞层次均清晰可见。



第三组:相对也简单的一些问题
封片不全
划痕
裂隙
污染
当然这几个问题注意一下可以解决的。
这张片子大家猜猜是什么问题?
左边是一批有问题的片子,也是经过一番寻找,最终锁定是玻片质量问题,质量差的玻片表面没有清洁,所有会有非特异的红染。右两张是更换玻变品牌后的效果。



重新制片后效果
以上就是液基制片的一些看法与大家分享,不对之处请大家批评指正。
对于诊断医生来说,工作量大且较忙,可能对于制片存在的问题无暇兼顾,但还是建议诊断医师对制片有所了解,主动与技术员建立良好的沟通关系,这同常规制片一个道理。因为片子是医生来看的,如同下图,低倍高倍都是好片,心情一片大好,诊断自然放心。


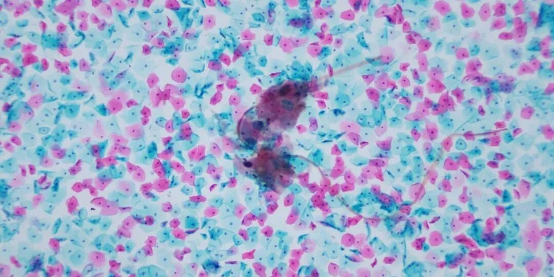
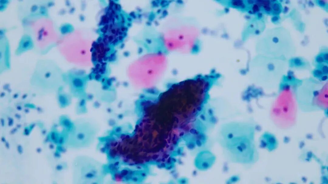
最后回到开头病例,是个滴虫病例,再看一下


典型滴虫特征:
两张视野中央的滴虫,梨形淡蓝色,脊状核,隐约的鞭毛;(大家下载图片放大看)
周围鳞状上皮核反应性增大,核周空晕,胞浆双染,胞浆空泡,散在中性粒细胞簇。
其实这例当时因为一些核大而纠结于要不要发ASCUS,所以看了半天才发现原来是个滴虫。
如若您有想看的内容主题
欢迎在下方评论区留言
秀威推出病理整体解决方案
助力病理科建设
滑动查看更多
